Root canal treatment is a common term used to describe endodontic therapy. As the name suggest, it involves treatment of the canal within the root of the tooth and hence the term “ENDO-DONTIC” therapy.
RCT is a common, quick and straight forward procedure performed to relieve dental pain and save the natural tooth.
Although is dreaded procedure, it can be made painless and comfortable with the care by an Endodontist. (A specialized person to do the Root Canal Treatment).
When does a tooth need RCT?
A tooth that has inflammation or infection in its root and exhibits the following symptoms may need a RCT:-
RCT is designed to eliminate the bacteria and infected pulp tissue from the root canal and prevent the tooth from infection.
A normal tooth has following structure in cross section.

What are the causes for a tooth to need RCT?
Inflammation or infection in the pulp.
The causes of pulp inflammation or infection can be: -
What to expect during RCT?



A well done RCT can help:
Our clinic offers professional dental implant services, ensuring patients can restore their smiles with confidence and improve oral function.
As the name suggest, cosmetic dentistry refers to: -

Cosmetic Dentistry may involve the following procedure: -




A cosmetic procedure may involve anyone one or a combination of the above procedure.
Veneers /Laminates are the most common procedures in cosmetic dentistry.
Veneers are custom made ultra-thin layer of ceramic that are bonded to the teeth.
They are an easy option for closing the space, improve the shape to change color of the teeth and correcting mild malalignment of teeth.
Veneers can be of 2 types:
Ceramic Laminates: is a multi-visit procedure. It requires tooth preparation and impression to be made in the first visit. Laminates are fabricated on the model of your teeth in a lab and the prepared laminates are luted on to your teeth during subsequent visit to the dentist. It usually takes 4 -7 days to get your laminates fabricated from a reputed dental lab.
Composite Veneers: are performed in one visit. The dentist fabricates and bond the veneer directly on your tooth surface.
The decision to place ceramic Laminates or composite veneers are based on case specificity and the client’s needs.

The most beautiful faces of our Bollywood will be looking like this with no teeth. Teeth are thus the most important structure that adds beauty to your face apart from doing its other functions.
Some of our cases:


For further information, feel free to talk to one of our doctors.
Orthodontics services are provided.
Removable Orthodontics services are provided.
Re-positioning or Re-aligning of teeth referred to as Orthodontics / Braces / Aligners.
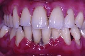
Infection of the tissues that hold the teeth in place are referred to as “Periodontal/Gum disease”
The tissues that hold the teeth in place are as follows:

The tooth is anchored within the bone by means of periodontal ligament and the Bone is covered by the gums. Periodontal ligaments act as a suspension and shock absorbent for the tooth within the bone.
Inflammation or infection in these structures are referred to as periodontal/gum diseases.
In the early stages, when the inflammation is limited to gums only, it is referred to as “Gingivitis”
It has very few symptoms and in most cases the disease has progressed significantly before symptoms arise. Also, in most cases the condition is painless and hence considered insignificant till it reaches a critical stage.
In a more advanced stage, when the infection reaches PDL or the Bone, it is referred to as “Periodontitis”. Here all of the tissues gums, PDL and bone are involved.
How Gum Disease progresses:
Healthy Gums

Gum Disease
Periodontitis

When your gums and supporting jaw bone are both complete, healthy and attached around the teeth, the tooth is stable and strong in its position. Healthy gums are firm, pink and do not bleed easily. The gums naturally attach to the teeth slightly below the gumline.
Bacteria gets onto the teeth from food and other sources. If the bacteria is not removed by brushing and flossing, it forms a sticky biofilm on the teeth known as plaque.
The bacterial plaque emits toxins that irritate and eat away at the gums and tooth enamel. The gums become inflamed. This is the beginning stage of gum disease. If this accumulation is not removed, the disease progresses in severity as the plaque accumulates further. The inflammation worsens, the gum detaches from the teeth and the supporting bone is lost.
Gingivitis and Periodontitis:
The first level of gum disease is known as gingivitis, which is a bacterial infection of the gums only. There is some redness and non-painful swelling of the gums, and the gums may bleed when brushing. However, there is no detachment of the gums from the teeth and no destruction of the ligament and supporting bone. If the bacterial infection is fully treated by thorough cleaning, health can be easily restored.
The second level is more severe and is known as periodontitis. Periodontitis is an infection of both the gums and the surrounding bone, which causes the gums and ligaments to detach from the teeth and causes bone loss.
As the gums detach, a pocket develops under the gumline between the gums and the teeth. Bacteria accumulates in the pocket and hardens into calculus (also known as tartar). This irritates the gums further and accelerates the infection, gum detachment and bone loss.
Stages of Periodontitis:
The point of gum attachment to your teeth is naturally about 3mm below the visible gumline. Gingivitis can exist at up to 3mm depth, but there will be no loss of ligament and supporting bone.
Periodontitis has set in when the point of attachment below the visible gumline is greater than 3mm and the ligaments and bone have started to erode. Periodontitis advances in three stages; mild, moderate and severe.

Mild periodontitis
The gum pocket depth is greater than 3mm on up to 5 mm and the infection has started to destroy the ligament and bone surrounding the tooth.
Moderate periodontitis
The gum pocket depth is now between 5 and 7mm and the ligament bone supporting the tooth has been further lost.
Severe periodontitis
Pocket depth is 7mm or greater and the ligament and bone loss has become severe. The depth of the tooth root is only 10 -12mm, so the tooth is in severe danger. Teeth can become loose at this point and may have to be removed.
If you have any of the following symptoms, you should see us and get a full examination to see if you have gum disease and how severely it has progressed.
Contributing factors to gum disease: Although plaque accumulation and the resulting infection and inflammation is the principal cause of gum disease, there are several factors that make you more susceptible and can make the disease progress faster.
Systemic health problems: Health problems such as diabetes, respiratory disease, heart disease, and autoimmune disorders may contribute to gum disease.
Poor diet: Lack of proper nutrition may cause chronic adverse health symptoms, making you susceptible to gum disease.
Genetics: An estimated 50% of the population is genetically predisposed to gum disease. However, proper oral care can keep the disease in check or prevent it from occurring.
Female hormonal changes: Hormonal changes can sometimes make the gums more sensitive and make it easier for gum disease to develop.
Smoking: A recent study indicates that the most damaging types of bacteria for gum health are found in smokers’ mouths.
Medications and treatments for other health problems: Some medications reduce the production and flow of saliva. Saliva has a protective effect on the mouth, and without enough saliva, the mouth is more susceptible to gum disease. Certain treatments for diseases can weaken the resistance of the gums, or cause excess gum tissue to grow which makes the gums and teeth harder to clean.
For more information, please talk to one of our doctors.
Replacement of missing teeth services are provided .
The following services are provided
Geriatric Dentistry services are provided :
TM Disorder, or Temporomandibular Disorder, is a condition that affects the jaw joint and surrounding muscles. Common symptoms include jaw pain, clicking or popping sounds in the jaw, limited ability to open or close the mouth, and headaches. The causes of TM Disorder can vary and may include jaw injuries, teeth grinding or clenching, arthritis, stress, and jaw or teeth misalignment.
Dental Restorations services are provided.
Ceramic and Zirconia crowns provided.