Infection of the tissues that hold the teeth in place are referred to as “Periodontal/Gum disease”
The tissues that hold the teeth in place are as follows:

The tooth is anchored within the bone by means of periodontal ligament and the Bone is covered by the gums. Periodontal ligaments act as a suspension and shock absorbent for the tooth within the bone.
Inflammation or infection in these structures are referred to as periodontal/gum diseases.
In the early stages, when the inflammation is limited to gums only, it is referred to as “Gingivitis”
It has very few symptoms and in most cases the disease has progressed significantly before symptoms arise. Also, in most cases the condition is painless and hence considered insignificant till it reaches a critical stage.
In a more advanced stage, when the infection reaches PDL or the Bone, it is referred to as “Periodontitis”. Here all of the tissues gums, PDL and bone are involved.
How Gum Disease progresses:
Healthy Gums

Gum Disease
Periodontitis

When your gums and supporting jaw bone are both complete, healthy and attached around the teeth, the tooth is stable and strong in its position. Healthy gums are firm, pink and do not bleed easily. The gums naturally attach to the teeth slightly below the gumline.
Bacteria gets onto the teeth from food and other sources. If the bacteria is not removed by brushing and flossing, it forms a sticky biofilm on the teeth known as plaque.
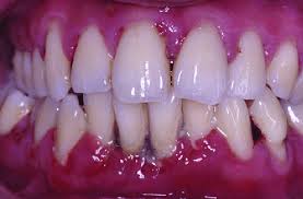
The bacterial plaque emits toxins that irritate and eat away at the gums and tooth enamel. The gums become inflamed. This is the beginning stage of gum disease. If this accumulation is not removed, the disease progresses in severity as the plaque accumulates further. The inflammation worsens, the gum detaches from the teeth and the supporting bone is lost.
Gingivitis and Periodontitis:
The first level of gum disease is known as gingivitis, which is a bacterial infection of the gums only. There is some redness and non-painful swelling of the gums, and the gums may bleed when brushing. However, there is no detachment of the gums from the teeth and no destruction of the ligament and supporting bone. If the bacterial infection is fully treated by thorough cleaning, health can be easily restored.
The second level is more severe and is known as periodontitis. Periodontitis is an infection of both the gums and the surrounding bone, which causes the gums and ligaments to detach from the teeth and causes bone loss.
As the gums detach, a pocket develops under the gumline between the gums and the teeth. Bacteria accumulates in the pocket and hardens into calculus (also known as tartar). This irritates the gums further and accelerates the infection, gum detachment and bone loss.
Stages of Periodontitis:
The point of gum attachment to your teeth is naturally about 3mm below the visible gumline. Gingivitis can exist at up to 3mm depth, but there will be no loss of ligament and supporting bone.
Periodontitis has set in when the point of attachment below the visible gumline is greater than 3mm and the ligaments and bone have started to erode. Periodontitis advances in three stages; mild, moderate and severe.

Mild periodontitis
The gum pocket depth is greater than 3mm on up to 5 mm and the infection has started to destroy the ligament and bone surrounding the tooth.
Moderate periodontitis
The gum pocket depth is now between 5 and 7mm and the ligament bone supporting the tooth has been further lost.
Severe periodontitis
Pocket depth is 7mm or greater and the ligament and bone loss has become severe. The depth of the tooth root is only 10 -12mm, so the tooth is in severe danger. Teeth can become loose at this point and may have to be removed.
If you have any of the following symptoms, you should see us and get a full examination to see if you have gum disease and how severely it has progressed.
Contributing factors to gum disease: Although plaque accumulation and the resulting infection and inflammation is the principal cause of gum disease, there are several factors that make you more susceptible and can make the disease progress faster.
Systemic health problems: Health problems such as diabetes, respiratory disease, heart disease, and autoimmune disorders may contribute to gum disease.
Poor diet: Lack of proper nutrition may cause chronic adverse health symptoms, making you susceptible to gum disease.
Genetics: An estimated 50% of the population is genetically predisposed to gum disease. However, proper oral care can keep the disease in check or prevent it from occurring.
Female hormonal changes: Hormonal changes can sometimes make the gums more sensitive and make it easier for gum disease to develop.
Smoking: A recent study indicates that the most damaging types of bacteria for gum health are found in smokers’ mouths.
Medications and treatments for other health problems: Some medications reduce the production and flow of saliva. Saliva has a protective effect on the mouth, and without enough saliva, the mouth is more susceptible to gum disease. Certain treatments for diseases can weaken the resistance of the gums, or cause excess gum tissue to grow which makes the gums and teeth harder to clean.
For more information, please talk to one of our doctors.